インプラント以外の選択肢(前歯) Blog

前歯を失った方へ
「歯を削らない・骨を増やさない」新しい選択肢
― ダイレクトブリッジという治療―
「前歯が抜けてしまったのでインプラントと言われた」
「骨が足りないので、大掛かりな骨の手術(GBR)が必要、治療は1年以上と言われた」
「健康な歯をぐるっと削るブリッジには抵抗がある…」
このような相談で当院を受診される方は、実はとても多くいらっしゃいます。
そのような方に、ぜひ知っていただきたい治療法が「ダイレクトブリッジ」です。
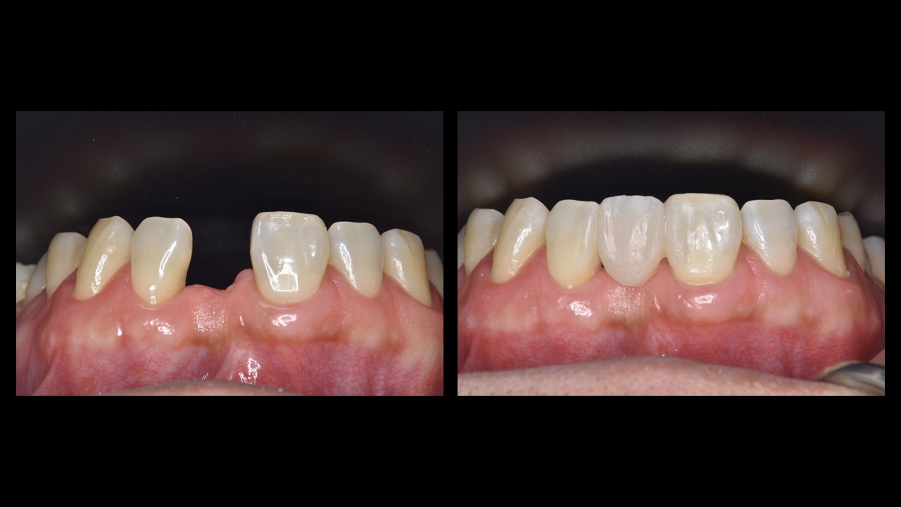
ダイレクトブリッジとは?
ダイレクトブリッジとは、ほとんど歯を削らずに、接着技術で歯を作るブリッジ治療です。
従来のブリッジのように、両隣の歯を一周ぐるっと削って被せ物にするのではなく、
・グラスファイバーなどの補強材
・高強度の歯科用樹脂
を用いて、口の中で直接、歯を作っていく方法です。健康な歯を守ることを最優先に考えた、
「削らない欠損治療」の選択肢のひとつです。
こんな方に知ってほしい治療です
✔ 前歯のインプラントで「骨を増やす大きな手術が必要」と言われた
✔ 治療期間が1年近くかかると言われて迷っている
✔ 健康な歯を全周削るブリッジには抵抗がある
✔ できるだけ侵襲の少ない治療を希望している
✔ まずは体への負担が少ない方法から考えたい
ダイレクトブリッジのメリット
-
🦷 歯をほとんど削らない
-
💉 麻酔が不要なことが多い
-
⏳ 短期間で治療が可能(大半の方は1回)
-
🩹 外科手術が不要(骨を増やす手術なし)
-
🔧 壊れても修理しやすい
-
👩⚕️ 将来インプラントに変更することも可能
「今ある歯と骨を守りながら治療できる」ことが最大の特徴です。
デメリット・限界もあります
・強い噛みしめ、歯ぎしりがある方
・奥歯の欠損
・支えとなる歯の状態が悪い場合
上記の場合には、外れたり・割れたりするリスクがあります。また、インプラントや通常のブリッジと比べると
長期の耐久性はお口の中の状態によって大きく左右されます。
そのため当院では、
噛み合わせ・歯周状態・生活習慣を詳しく診査した上で、適応を慎重に判断しています。
治療期間
・大半の方は、1回の通院(お口の中の状態による)
・外科処置は原則不要
インプラントのように
「骨造成 → 治癒 → 埋入 → 治癒 → 被せ物」という
長期治療になることは基本的にありません。
費用について
ダイレクトブリッジは保険適用外(自由診療)となります。費用は歯の本数・設計・難易度により異なりますので、
詳しくはご相談時にご説明いたします。
👉 費用は「お問い合わせください」
最後に
前歯の欠損治療は、
「インプラントしかない」
「大きな手術をしないと無理」
と言われ、不安を抱えて来院される方が少なくありません。
しかし実際には
・削らない
・骨を増やさない
・体に負担をかけすぎない
という選択肢が取れるケースも多くあります。
当院では、
できるだけ歯を守り、将来の選択肢を残す治療を大切にしています。
「本当にインプラントしかないのか?」
「歯を削らずにできる方法はないのか?」
そう思われた方は、是非一度ご相談ください。
ご相談の予約はこちらから↓








